医学物理是将物理学中的原理和方法应用于临床疾病的诊断、治疗、预防和保健的学科,也是一门融合了物理学、数学、化学、生物学、医学、计算机科学、工程科学以及智能信息科学等多学科知识的新兴交叉学科。其核心内容包括计算机断层成像(CT)、磁共振成像(MR)、正电子发射断层成像(PET)、超声成像(US)及放射治疗(RT)和消融等,是保障人民生命健康和开展高水平医疗装备研发的基础。
与北美、欧洲甚至部分亚洲发达国家在医学物理学科的发展已取得显著成就相比,中国医学物理科学仍处于发展和探索的初期阶段。据统计,中国每年新增肿瘤患者约450万,而美国约160万;但中国的医学物理师人数不足5000人(2019年统计数据),而美国保守估计超过8500人(2017年统计数据)。同时,全国每百万人口放疗设备数量仅为1.5台,显著低于WHO的要求(4台/百万人口);且全国2139台放疗加速器中,国产设备仅336台,市场占有率仅为15. 7%。高端医学物理专业人才的严重短缺,已成为制约我国医疗水平和创新医疗器械发展的瓶颈,急需培养更多医学物理领域的高端人才。

图1. 2017年医学物理学科设立论证
在此背景下,北航物理学院于2017年与北京大学医学部、解放军总医院达成医学物理合作办学协议,并于同年获教育部批示设立了全国首个医学物理博士点。依托这一标志性平台,持续推进医学物理学科建设,面向肿瘤精准诊疗国家重大需求和人民生命健康,围绕CT成像和放射治疗技术研究和设备开发开展系统工作,致力于从原理算法、技术开发到应用转化的全链条创新,为肿瘤精准诊疗和高端影像及放疗装备自主化提供重要技术支撑。具体研究方向涵盖医学物理人工智能、先进射线成像算法、高性能成像装备研制、图像引导放疗、粒子治疗等前沿课题,取得了可喜的成效。
目前团队成员9人,包括2位国家级人才、1位国家级青年人才、3位教授和3位副教授组成。近5年发表SCI论文80余篇,包括Nature子刊1篇,Cell子刊1篇,放疗领域顶级期刊“红皮书”、“绿皮书”,以及医学图像分析领域顶刊MedIA多篇;获授权和公开中国、美国发明专利10余件。主持国家自然科学基金重点项目、科技部重点研发计划,以及企业“揭榜挂帅”项目多项。在英国物理学会、科学出版社等机构出版医学物理相关专著与教材6部。成果转化至10余家国内外单位。成员受邀担任中国核工业教育学会副理事长、中国核学会医学物理分会理事、北京核学会理事、医学物理领域权威期刊Medical Physics副主编、北京科协“千人进千企”产业特派员等学术和社会兼职。获“胡济民教育科学奖”、“国际光学工程学会青年科学家奖”、“美国放射肿瘤学会基础转化科学奖”、“美国放射肿瘤学会年度最佳报告”等。
团队与国家癌症中心、北京大学第三医院、北京大学肿瘤医院、解放军总医院、国科离子有限公司等国内顶级三甲医院及产业龙头企业保持紧密合作,形成了医工结合、产学研医联动的创新合作体系。建立了由大三甲医院科室主任、海外名校教授及行业资深工程师组成的20余人校外兼职导师团队,为学生提供一流的科研指导与实践平台。团队与合作单位共同探索的“产学研医联动的医学物理创新人才培养模式”荣获北京航空航天大学教学成果特等奖,成为国内高校医学物理教育的重要示范。团队设立了“医科达奖学金”和“国科离子奖学金”,持续鼓励学生在科研与临床创新中追求卓越。此外,团队已连续举办四届“医学物理国际暑期学校”,吸引了来自全国及海外的优秀师生参与,在全国范围内引起热烈反响。已毕业的学生主要就职于中国医学科学院肿瘤医院、复旦大学附属肿瘤医院、北京大学第三医院、上海交通大学医学院附属瑞金医院、解放军总医院等国内顶级三甲医院,以及国科离子、联影医疗、医科达等产业界龙头企业,形成了医学物理“产学研医”协同培养与创新的良性循环体系,正成为我国医学物理学科建设与高水平人才培养的重要示范力量。

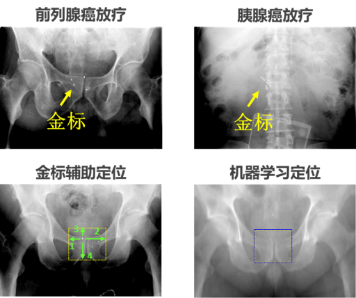
图2. 图像引导放疗

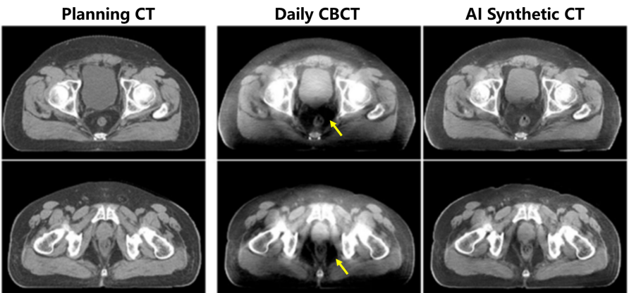
图3. 医学物理人工智能